Carl Walker Orthodontics
Wednesday, December 24, 2025
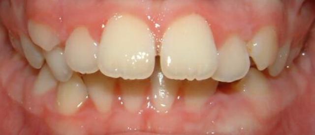
OtherThumb Sucking & Pacifier UseThumb sucking & pacifier use are common habits in toddlers and young children and usually don’t cause problems if habits stop by ages 3 or 4. Continuation past this age can be extremely detrimental and interfere with the normal eruption and alignment of teeth. Over time, these habits create what some call “buck teeth” or an open bite, and both bites can impede speech and eating.
A thumb guard discourages the sucking behavior by keeping the thumb or finger from finding a comfortable spot to rest. Sometimes it is necessary to use an RPE, or Rapid Palatal Expander, to widen a narrow palate caused by finger or thumb sucking or excessive pacifier use. This appliance has a screw that parents turn daily with a small key until the desired width is achieved. We sometimes use braces on the upper front teeth along with an RPE to correct minor crowding issues.
Early Intervention“When my son was in second grade, he wouldn’t smile for pictures because his front teeth came in at an angle. He was too young for braces, but Dr. Walker said he could fix the crooked teeth with a retainer-type appliance. It worked and his smile looked great! Now, six years later we are here for braces to correct other issues. We feel confident we’ll continue to get excellent care from Dr. Walker and his staff.” — R.S., mom of male, age 13
The American Association of Orthodontists recommends every child be seen by age 7. Although most children won't need orthodontic treatment until their teenage years, there are several problems that if caught and treated in a timely manner could prevent issues from getting worse – in some cases, even avoiding the need for surgery. By correcting some of these problems early, the child’s treatment time in braces during the teenage years can be shortened or even avoided altogether, thereby lessening the cost of treatment.
Some problems that can be addressed early are crossbites, tooth eruption, jaw underdevelopment, protruding teeth, and space issues. Our philosophy for Phase I (early) treatment is keeping braces on children during the interim between Phase I and Phase II (when needed) is unnecessary. Keeping a child in braces for 6 years can lead to burn-out and bad oral hygiene issues, so we prefer to get in and get out. Seeing us early for an evaluation is the most efficient way to maximize your dental care dollars, and to make sure your children get the best possible care.
Facial DeformityA child with a cleft can be seen by an orthodontist even before the child has any teeth to assess facial growth, particularly in the jaws. As teeth begin to erupt, Dr. Walker will outline short and long-term plans for the child’s dental needs. Early treatment may be needed to correct the relationship of the upper and lower jaw to each other if the teeth do not fit together properly. Once completed, Dr. Walker will monitor facial growth & development of teeth. When permanent teeth come in, the final phase would complete alignment of the teeth. During this entire process, coordination between the surgeon and orthodontist is critical, and Dr. Walker considers it a privilege to work with physicians to meet the needs of these children.
Read more at http://www.cleftline.org/publications/dental_care
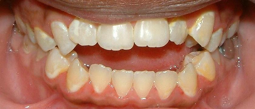
Clenching & GrindingGrinding, known as bruxism, is a common problem for all ages and most do so unknowingly. It’s no big surprise that stress is the number one reason for clenching & grinding. Everyone deals with stress differently – some clench or grind only during times of crisis, and others “brux” subconsciously throughout the day. The jaw is a powerful instrument and can exert 300 pounds of pressure. If left untreated, bruxism can lead to cracked, broken or excessively worn teeth, enamel loss, sensitivity and joint problems. The most effective treatment is a custom fitted night guard which is worn at night. The guard doesn’t prevent clenching or grinding, but instead protects the teeth by distributing the pressure evenly. It can also eliminate problems in your bite that may contribute to grinding, and can prevent pain in the teeth and jaws, allowing any inflammation to heal.
Surgical OrthodonticsThis term is used to describe orthodontic treatment that is done in conjunction with orthognathic surgery to correct jaw irregularities in non-growing adult patients. On average, jaw growth is completed by age 16 for girls and 18 for boys, but the patient must be finished growing before surgery is possible. During your orthodontic treatment, braces are necessary to position the teeth properly prior to surgery. Once the surgery is completed by an oral surgeon, the bite will be refined, and before you know it you’ll be smilin’ and profilin’ – literally! Your profile will be aligned properly, as will your bite, and you can look forward to a lifetime of function and a fabulous smile.
“We so appreciate Dr. Walker! He has treated our daughter from elementary school until the college years. During her high school years, we faced a major surgery decision to correct abnormal lower jaw growth. First, she wore braces, then had wisdom teeth removed, then had to wait until the jaw stopped growing before she could have the surgery. Dr. Walker was very encouraging during that time. His wisdom and skill allowed her to be completely ready for surgery when the time came – and he had already tried every other treatment option to avoid surgery. He answered every question and concern we had, and recommended a wonderful oral surgeon. We highly recommend him…he is a very kind, compassionate and skilled orthodontist.” — L.C., mom of K.C., female, age 20
|
|






